Health Buzz

Braces off and underbite/crossbite gone!
The title of this article comes from the parting words in one of my articles (https://columbusbee.blog/2020/09/07/life-is-a-beach-second-of-two-parts/) where I talked about making lemonades out of lemons particularly during these trying times. I am using the same words again, not in the context of adversities, but literally how my new smile has brought me a new life. It may not have been noticeable before, but even at a young age I have already noticed that my upper and lower teeth are not properly aligned. When I was younger, people thought that I have wore braces before coz my upper teeth are pretty even. But even then, the upper teeth do not sit well with the lower and that I believe is how it (the deterioration) all started.
Yes dear readers, I have both underbite and crossbite. Underbite is when the lower teeth protrudes compared to the upper teeth, which means that the lower jaw is also more forward than the upper. Crossbite on the other hand, is when some of the upper teeth rest over and under the lower teeth. Both my underbite and crossbite became more pronounced when I got older. I suppose it has started to affect the appearance of my smile but then I wasn’t really conscious and particular with how my smile looks, much more how I look in general.


(Left) From a distance, my smile before seems ok, which appears to have even set of teeth, but if you take a closer look (right), you will notice the underbite/crossbite
It also didn’t help that having sat on different dental chairs with as much number of dental professionals and no one ever mentioned anything wrong with my teeth other than a cavity here and there that requires tooth filling. It was not until I decided to have oral prophylaxis at Gan Advanced Osseointegration Center (GAOC) where the dentist who checked on me noticed that my back teeth were starting to break down and my upper front teeth were in varying states of erosion. The dentist also asked me if I am experiencing occasional migraines (which I had) which can be likely caused as well by the uneven grind and bite. She then broached the idea of having braces.
I was sort of laughing inside my head, coz the thought of wearing braces at my age is just bizarre. Braces are pretty common among teens and young adults, where their young teeth haven’t really settled in and cemented by age unlike the older generation where I belong. But then again, I asked myself why did I choose this dental clinic in the first place. I remember choosing it coz I wasn’t really happy with any of the dental works from the different HMO affiliated dental clinics where I didn’t pay anything every visit. Nobody really told me anything else that’s wrong either with my teeth or my bite. So for the first time, I found a clinic that has identified what needs to be fixed. That I need to have braces.


Before and After Treatment Plan
So I went on with the idea and they referred me to their TMJ consultant after they have taken different x-ray views of my mouth. Temporomandibular joint or TMJ for short is what connects your jawbone to your skull. The reason why a TMJ specialist needs to handle my treatment plan is because there is a need to correct the alignment of the teeth and the jaw to fix the grind and the bite. So it’s not just getting the teeth even, but aligning both upper and lower jaw. Braces alone won’t achieve that, so a sagittal appliance was included in the treatment plan where it is placed on the roof of the mouth to create room in the upper jaw by pushing the teeth outwards hence increasing the width of the upper jaw while pushing the lower teeth in (effectively decreasing the lower jaw width) thru braces. Sounds painful, right?
It was. For the first few days of wearing braces and the sagittal appliance, I was in excruciating pain. It was so painful that the thought of having it all removed and never to put it back on ever again crossed my mind. Never mind the full amount that I have already paid for the whole treatment plan that would last for about 18-24 months (mind you that clinic is not cheap, nor is this article an ex-deal, partnership, or paid advertorial of the clinic since I haven’t monetized this blog yet). But as the common saying goes, no pain, no gain. I simply have to endure the pain to achieve the end results. My mouth eventually started to adjust and got used to these foreign objects (or monsters to me). But prior to that, I have sores all over and was subsisting on soups and soft food for the first two weeks (on the bright side, I lost weight during that period).


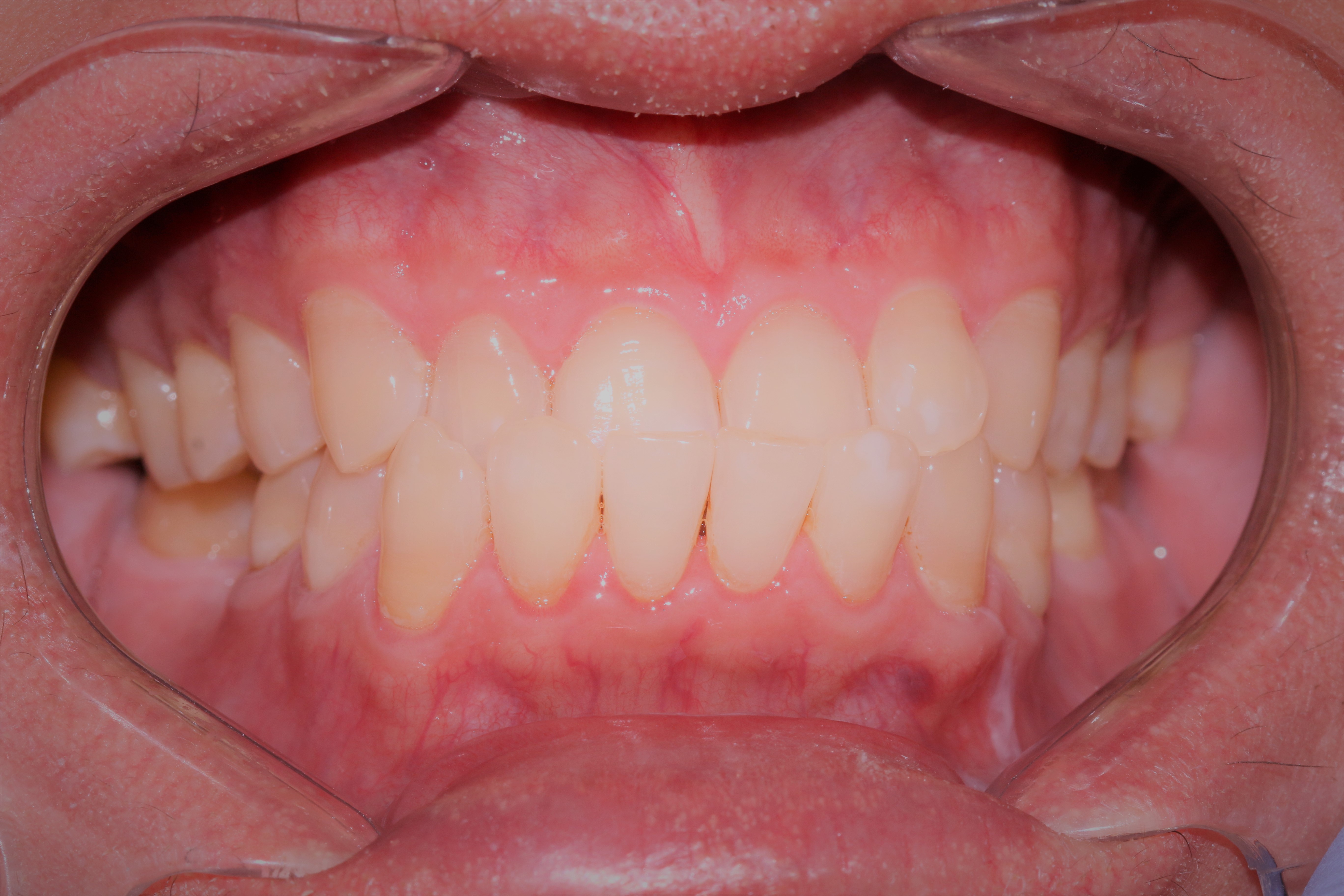
Before and After Smile
It was also a good thing that I didn’t delay it any further coz a year of treatment in, I went thru another bout of pain, this time from sciatica (which I wrote about in my article https://columbusbee.blog/2019/11/01/mlnrd-at-st-lukes-medical-center-global-city-the-good-the-bad-and-the-ugly/). My TMJ specialist, after learning that I went thru spinal surgery, mentioned that she has a patient who was suffering from the same condition (where you wake up one day and you can’t walk because of the pain), but after correcting the skull-jaw-neck alignment, the pain went away. I told her that my case may be different, coz the pain was caused by the nerve root compression as a result of the protruded disk on my lower back.
Then pandemic struck, where I probably have only made two visits/adjustments during the whole year of 2020. But even before the start of the lockdown (or after about 17 months of treatment), my teeth and jaw have miraculously aligned in spite of my age. Before starting with the treatment plan, the TMJ specialist told me that there is no guarantee of success (or the desired results may not be achieved) given my age, that they even made me sign a waiver. Though I now understand my body (where I wrote about understanding and listening to your body in my article https://columbusbee.blog/2020/03/28/my-gut-feel-against-the-virus/), I’m still surprised at times on how my body works. Like when I underwent root canal treatment also with the same clinic this year. I have a molar tooth (the tooth at the farthest end) that was decaying and that the infection has already spread both in the gums and the jawline where the x-ray shows loss of bone mass and gum tissue due to infection. Two dentists of the clinic (from different branches) have suggested tooth extraction but after learning what I’ll go thru if I decide to have tooth implant to replace the extracted tooth (denture is no longer an option coz being the farthest tooth, there is only one adjacent tooth to support the same), I decided (and insisted) to save the infected tooth instead thru root canal treatment. Again, miraculously, what seems to be a hopeless case has proven naysayers wrong by just having faith on the body’s healing powers (coupled with mental affirmation that the tooth will be saved). After several bi-weekly visits in a span of 3 months (with the same number of COVID swab test for every visit), the tooth was saved where the infection on the gum tissue started to disappear, the bone mass on the jawline started to regenerate, and what used to be wobbly is now a tooth firmly rooted. My body works in mysterious ways.


(Left) Around the tip of the root of the tooth is a hollow dark spot which is a manifestation of gum tissue infection and loss of bone mass on the jawline. (Right) Three months after the start of the root canal treatment, you see a significant improvement where the dark spot is no longer there which means that the infection is gone and gum tissue and bone mass start to regenerate.
So after about 18 months worth of treatment (excluding the uneventful year 2020), the braces were removed. I thought I have a brand new smile. A few months going into the homestretch, I also noticed some changes in my appearance, not only on how my smile looked. Before the treatment, my upper jaw was concaving and my lower jaw protruding that gave my face a bulldog appearance. Because my upper jaw is concaving, a portion of my upper lip seems to be submerged or buried. After the treatment, I have noticed that my cheekbones have become more prominent (probably due to the upper portion of the skull, jaw, and teeth now resting nicely on the lower jaw and teeth) and my upper lip is fuller, aside from my teeth that are now even and bite aligned.

Me at work (post treatment). Even without a smile, the confidence in me shines through with prominent cheekbones, fuller upper lip, and more defined jawline. What used to be chubby cheeks is now a narrower face (the cuteness factor is gone though lol).
The timing can’t be more perfect as well. Since we have to rely now on video calls for work meetings, I am now more confident with how I look on video (I would scrimp on my smile before in most of my travel pics, much more appear on video). Believe me, that added boost in confidence can do wonders in both presenting during a meeting and selling an idea to peers, colleagues, and superiors across the globe. Not that I’m aiming for a promotion, but it made things easier at work without having to worry about how I look in those video calls. That confidence (plus coming prepared at all times) makes one shine in these calls.


Before (December 2017) and After (June 2021). Which pic do I look younger?
This is why I said earlier that my smile has given me a new life. I started living again that day when they took my braces off and smiled my way thru life.
(Note: Thank you to my TMJ specialist Dr. Eillen Manalang and to my dentists Dr. Pia Alaba and Dr. Vengie Bangloy)
Hi columbusbee, I have braces right now, but I worry that the treatment is actually causing me TMD. I’m considering Dr. Manalang and came across your blog. It gave me hope that my TMJ would heal. I’d like to know more about your experience with GAOC and Dr. Manalang. Such as, how old were you when you were treated at GAOC? And how expensive was the treatment? I hope you see this and many thanks in advance!
LikeLike
Hi JD,
I was already “old” when I had braces on (I didn’t feel the need for it when I was younger until my underbite and crossbite have gotten worse over the years). But from my experience, age is not really a big factor. If there is anything wrong with your jaw alignment, that can still be fixed over time and by religiously sticking to your treatment plan (ie don’t miss your regular appointments). GAOC is expensive by any standard (but they do a pretty good job, which to me is very important) so I suggest you schedule a consultation and get a quotation coz the cost may vary depending on your condition and the treatment plan (they’ll give you the total cost of the treatment plan, so every visit/appointment is already covered by the plan).
Hope this helps and you get better.
LikeLike